Чим небезпечні котячі подряпини

😺Домашні коти та кішки у пориві гри або під час роздратування можуть подряпати чи вкусити свого господаря. Такі рани дуже болісні й часом довго не гояться, а також можуть бути смертельно небезпечними. Крім небезпеки захворювання від кішок на сказ, існує і навіть таке наукове позначення, як хвороба котячих подряпин або феліноз.

Нанесені котячими кігтями травми загрожують інфікуванням, сепсисом і за останніми науковими даними навіть причиною психозів у людей. Крім рани від зубів або кігтів кота, ця хвороба може виявлятися й тоді, коли ваш пухнастик облизав пошкоджену ділянку шкіри та збудник інфекції потрапив у рану.

Викликають такі захворювання давно відомі медицини бактерії Bartonella, якої інфіковано понад 40% котів. При цьому коти зазвичай виглядають абсолютно здоровими. Найчастіше цією бактерією інфіковані кошенята до року. Науці відомі 45 видів цих бактерій, 18 з яких є небезпечними для людей.

Переносниками бартонелозної інфекції є членистоногі паразити – блохи, воші та кліщі. Через їхні укуси переносниками можуть стати й домашні улюбленці, но ризик заразиться від бездомних кішок значно вище. Варіанти передачі інфекції людині при укусах котячих бліх та від людини до людини не підтверджені. Передача інфекції між кішками відбувається при укусах котячої блохи або заковтуванні їх продуктів життєдіяльності. Тому люди, у яких вдома є хоча б одне кошеня з блохами, мають більше шансів заразитися бацилою, ніж ті у чиїх тварин у шерсті не було бліх.

Групи ризику:

✔️захворювання найчастіше зустрічається у людей молодше 18 років до 80% із всіх випадків. Це пов’язують про те, що діти та підлітки найчастіше грають з кошенятами;

✔️також варто відзначити, що захворювання частіше трапляється у чоловіків, ніж у жінок. Однією з гіпотез, що пояснюють вищу захворюваність серед чоловіків, є тенденція до грубішої гри з кошенятами та кішками.

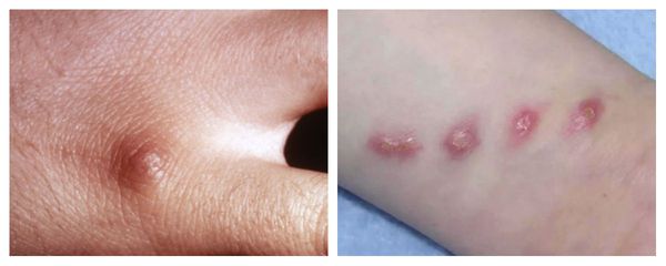
Зазвичай хвороба котячих подряпин проявляється через 3-14 днів після укусу чи подряпини.

Рана починає запалюватися, припухати, червоніти чи навіть гноїтися. Можуть бути такі симптоми як підвищення температури тіла, головний біль, відсутність апетиту, сильна втома. Через деякий час можна помітити, що лімфовузли біля запаленої ділянки також запалюються – стають чутливими, припухають та болять, тобто уражається лімфатична тканина людини, що надалі може посилюватися розвитком лімфаденіту.

В основному при цьому захворюванні особливого лікування не потрібне. Тяжкі форми захворювання зустрічаються вкрай рідко, у вигляді неврологічних або серцевих наслідків, менінгоенцефаліту, енцефалопатії. Таке може статися з людиною, яка має імунодефіцит і тоді потрібне лікування антибіотиками 💊, які може призначити лише сімейний лікар.

Заходи профілактики:

✔️після укусу, подряпування або потрапляння слини у рану, необхідно негайно промити місце пошкодження водою з милом та продезінфікувати. Слідкуйте за своїм самопочуттям і станом рани. При появі симптомів зверніться до сімейного лікаря, а у разі підозри у кішки на сказ обов’язково одразу звертайтеся до лікаря травматолога;

✔️щоразу мити руки з водою та милом після гри з кішками, особливо це стосується дітей та людей з ослабленою імунною системою;

✔️оскільки кошенята молодше одного року найбільш небезпечні для зараження через наявність бактерій у крові, людям з ослабленою імунною системою слід заводити кішок старше одного року;

✔️не рекомендується грати чи гладити бездомних кішок;

✔️не можна дозволяти кішкам зализувати відкриті рани та подряпини на шкірі;

✔️слід підстригати пазурі кішок;

✔️необхідно постійно використовувати схвалені ветеринаром засоби боротьби з блохами;

✔️кішок слід тримати в приміщенні, щоб зменшити контакт з блохами та уникнути зараження.

Знайти